
El punto de partida de un descanso reparador podría estar mucho más cerca de lo que se cree: en la boca. Lejos de ser un tema meramente estético, la salud bucal se consolida como un indicador clave de cómo dormimos cada noche y de la calidad real del descanso.
Encías inflamadas, sequedad, desgaste dental o dolor mandibular no solo afectan la sonrisa: pueden ser señales tempranas de trastornos como el bruxismo o la apnea obstructiva. Según la Asociación Dental Americana (ADA) y la Academia Estadounidense de Medicina del Sueño (AASM), descuidar la higiene oral también puede impactar en el sistema cardiovascular y metabólico, alterando la salud de forma silenciosa pero sostenida.
Las investigaciones más recientes subrayan que la salud bucal y el sueño mantienen una relación mucho más compleja e interdependiente de lo que antes se pensaba. La evidencia científica, respaldada por la ADA, señala que alteraciones en la cavidad oral pueden reflejar desórdenes nocturnos y, a la vez, agravarse con la falta de un sueño adecuado.
Así, la boca actúa como una ventana que revela desequilibrios respiratorios, deficiencias de oxígeno y otros factores que afectan la profundidad y continuidad del descanso.
Las alteraciones bucales no solo interrumpen el descanso, sino que también pueden ser la puerta de entrada a problemas más complejos. El bruxismo, caracterizado por el rechinar involuntario de los dientes, se asocia tanto a episodios de estrés como a trastornos respiratorios nocturnos.
La AASM señala que, cuando las vías respiratorias se estrechan, el cuerpo activa la mandíbula en un intento de restablecer el flujo de aire, lo que provoca fragmentación del sueño y deterioro progresivo del esmalte dental.
Cómo los problemas bucales alteran el sueño

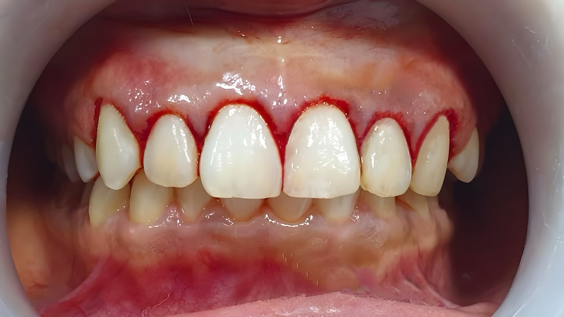
La inflamación persistente de encías, especialmente si va acompañada de sequedad por respiración bucal, aumenta el riesgo de infecciones y debilita la estructura dental. Según la Federación Dental Internacional (FDI), la enfermedad periodontal no solo compromete la función masticatoria, sino que incrementa la carga inflamatoria general del organismo, afectando al sistema cardiovascular y metabólico.
La sequedad bucal, frecuente en personas con congestión nasal o apnea del sueño, crea un entorno propicio para la proliferación de bacterias, el mal aliento y la formación de placa. Esta condición, de acuerdo con la Sociedad Española de Sueño, puede dificultar el flujo de aire adecuado durante la noche y favorecer la aparición de ronquidos y apneas obstructivas.
Incluso molestias leves, como el dolor dental nocturno, pueden interrumpir las fases profundas del sueño. The Lancet describe cómo los mediadores inflamatorios que se liberan por la noche reducen el umbral de dolor y mantienen el sistema nervioso en estado de alerta, impidiendo un descanso reparador.
La relación bidireccional entre boca y descanso
La conexión entre la salud bucal y el sueño es profunda y va en ambos sentidos. Problemas como la inflamación de encías, la sensibilidad o el dolor dental, y la sequedad bucal pueden interrumpir el descanso, provocando microdespertares y dificultando que el sueño sea reparador. Estos síntomas suelen intensificarse durante la noche, cuando el cuerpo es más sensible a las molestias.

A su vez, los trastornos del sueño —especialmente la apnea obstructiva y la respiración bucal nocturna— contribuyen al desgaste dental, la sequedad de las mucosas y un mayor riesgo de caries y enfermedad periodontal.
Según la Academia Estadounidense de Medicina del Sueño (AASM) y la Asociación Dental Americana (ADA), la inflamación oral crónica puede extenderse al resto del organismo, favoreciendo problemas cardiovasculares, metabólicos y dificultades de concentración.
Por ello, abordar de manera integral los síntomas bucales y los problemas de sueño, con la colaboración de dentistas y especialistas en medicina del sueño, es clave para preservar la salud general y mejorar la calidad de vida. Reconocer las señales a tiempo permite prevenir complicaciones y lograr un descanso verdaderamente reparador.
Reconocer y tratar a tiempo los síntomas bucales, así como mantener una higiene oral rigurosa y buscar asesoría profesional ante molestias persistentes, es clave para prevenir complicaciones y asegurar un sueño verdaderamente reparador.

Las recomendaciones internacionales insisten en la importancia de usar hilo dental antes de dormir, mantener la hidratación, priorizar la respiración nasal y acudir tanto al dentista como al especialista en sueño ante cualquier sospecha de alteración en el descanso nocturno.
Según la Journal of Dental Sleep Medicine, en algunos casos, se recomienda la utilización de cinta adhesiva especial para favorecer el cierre bucal y mejorar la oxigenación nocturna, siempre bajo supervisión profesional. Mantener estos hábitos puede marcar la diferencia entre un descanso interrumpido y una noche realmente reparadora.

